Zongertinib là gì? Thuốc đích mới cho đột biến HER2...
Tìm hiểu zongertinib, thuốc đích mới cho ung thư phổi không tế bào nhỏ có đột biến HER2. Bài viết giải thích dễ hiểu: thuốc dành cho ai, hiệu quả ra...
So sánh thời gian sống không tiến triển trong ung thư...
Cập nhật 10/2025: So sánh thời gian sống không tiến triển giữa các phác đồ ung thư phổi giai đoạn 4; cách chọn phác đồ giúp giữ bệnh đứng yên lâu...
Chọn đúng thuốc – Cơ hội sống dài hơn cho bệnh nhân...
Khám phá giá trị của việc chọn đúng thuốc điều trị ung thư phổi giai đoạn 4 theo hướng dẫn NCCN 2025 – giúp kiểm soát bệnh, thu nhỏ khối u và...
Chọn đúng thuốc ung thư phổi giai đoạn 4 để sống...
Hướng dẫn 2025 cho bệnh nhân: xét nghiệm gen + PD-L1 để chọn thuốc đích hoặc miễn dịch, giúp sống lâu hơn và ít độc tính hơn so với hóa trị ở...
Các loại vắc xin điều trị ung thư: cơ chế, hiệu...
Toàn cảnh vắc xin điều trị ung thư: mRNA cá thể hóa, peptide, DNA, vectơ virus, DC, oncolytic, BCG, T-VEC; cơ chế, hiệu quả và ai phù hợp.
Tiến bộ mới nhất 2025 trong điều trị ung thư phổi...
Khám phá những tiến bộ mới nhất năm 2025 trong điều trị ung thư phổi tế bào nhỏ: hóa trị, miễn dịch, Tarlatamab, thuốc nhắm trúng đích, chăm sóc...
Hiệu quả của vắc xin CIMAvax trong điều trị ung thư...
Khám phá hiệu quả vắc xin CIMAvax của Cuba trong ung thư phổi. Giúp kéo dài sự sống, cải thiện chất lượng cuộc sống, chi phí hợp lý.
Điều trị trước mổ ung thư phổi: Cơ hội làm sạch...
Tìm hiểu vai trò của điều trị trước mổ trong ung thư phổi giai đoạn sớm. Khi đạt đáp ứng hoàn toàn mô bệnh học, bệnh nhân có nguy cơ tái phát...
Thuốc đích KRAS G12C cho ung thư phổi giai đoạn 4: xét...
Giải thích KRAS G12C, vai trò xét nghiệm NGS và sinh thiết lỏng, thuốc đích sotorasib, adagrasib, divarasib, hiệu quả ORR, PFS, cách theo dõi và điều trị NSCLC...
Thuốc đích mới Divarasib trong ung thư phổi KRAS G12C,...
Divarasib là thuốc đích ức chế KRAS G12C cho bệnh nhân ung thư phổi không tế bào nhỏ. Bài viết phân tích mục tiêu, phương pháp, hiệu quả ORR, DOR, PFS,...
Chỉ số ECOG là gì? Vai trò của sức khỏe thể trạng...
Chỉ số ECOG giúp bác sĩ đánh giá sức khỏe thể trạng bệnh nhân ung thư phổi, từ đó quyết định phương án điều trị và dự báo thời gian sống...
Vai trò của xét nghiệm SCC máu trong ung thư phổi: Những...
Xét nghiệm SCC máu giúp hỗ trợ chẩn đoán, tiên lượng và theo dõi điều trị ung thư phổi, đặc biệt là ung thư phổi tế bào vảy. Tìm hiểu chi tiết...
Vai trò xét nghiệm CEA máu ở giai đoạn 4 ung thư phổi
Xét nghiệm CEA máu giúp theo dõi hiệu quả điều trị, phát hiện tiến triển sớm và hỗ trợ tiên lượng ở bệnh nhân ung thư phổi giai đoạn 4. Tìm...
Vai trò của xét nghiệm CEA máu đối với ung thư phổi...
Xét nghiệm CEA máu giúp theo dõi và tiên lượng ung thư phổi giai đoạn sớm sau phẫu thuật. Tìm hiểu ý nghĩa, thời điểm xét nghiệm, các số liệu...
Xét nghiệm CEA trong Ung Thư Phổi: Những Điều Bệnh Nhân...
Ung thư phổi là một trong những loại ung thư có tỷ lệ tử vong cao nhất trên toàn cầu. Việc phát hiện sớm, chẩn đoán và theo dõi bệnh hiệu quả...
Xét Nghiệm Đột Biến Gen và PD-L1 Trong Ung Thư Phổi: Khi...
Tìm hiểu vai trò, chỉ định và cách thực hiện xét nghiệm đột biến gen và PD-L1 trong ung thư phổi. Bài viết giải thích rõ khi nào nên xét nghiệm, các...
Hiệu quả Hóa Xạ Trị Đồng Thời Trong Ung Thư Phổi...
Hóa xạ trị đồng thời là phương pháp điều trị nền tảng trong ung thư phổi không tế bào nhỏ giai đoạn III. Bài viết cung cấp thông tin chi tiết về...
Hạ Bạch Cầu Do Hóa Chất Trong Điều Trị Ung Thư Phổi:...
Tìm hiểu toàn diện về hạ bạch cầu trung tính do hóa chất ở bệnh nhân ung thư phổi: cơ chế sinh học, phân loại mức độ, yếu tố nguy cơ, cách...
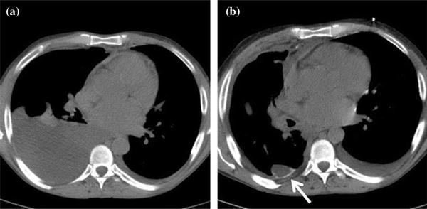
Các hình thức đáp ứng điều trị sớm của thuốc...
Khám phá các hình thức đáp ứng điều trị sớm với thuốc đích trong ung thư phổi giai đoạn 4: lâm sàng, hình ảnh, ctDNA, mô học và sinh học phân tử....
