22:52 - 19/04/2025
CÁC THUỐC ĐIỀU TRỊ UNG THƯ PHỔI MỚI NHẤT 2025
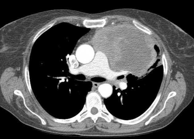
Các thuốc điều trị ung thư phổi không tế bào nhỏ (NSCLC) mới nhất
Xem thêm16:26 - 12/04/2026
Neladalkib trong ung thư phổi ALK dương tính: Hy vọng mới...
Neladalkib là thuốc đích ALK thế hệ mới đang được quan tâm trong ung thư phổi không tế bào nhỏ ALK dương tính. Bài viết giúp bác sĩ đa khoa, bệnh nhân...
Xem thêm12:28 - 04/04/2026
Zongertinib là gì? Thuốc đích mới cho đột biến HER2...
Tìm hiểu zongertinib, thuốc đích mới cho ung thư phổi không tế bào nhỏ có đột biến HER2. Bài viết giải thích dễ hiểu: thuốc dành cho ai, hiệu quả ra...
Xem thêm14:36 - 24/11/2025
Nốt phổi là gì? Nguy cơ ác tính và lộ trình theo dõi an...
Giải thích nốt phổi dễ hiểu cho cộng đồng: phân loại đặc, kính mờ, bán đặc; nguy cơ ác tính theo kích thước và bờ; khi nào cần chụp PET CT, sinh...
Xem thêm20:12 - 07/11/2025
So sánh thời gian sống không tiến triển trong ung thư...
Cập nhật 10/2025: So sánh thời gian sống không tiến triển giữa các phác đồ ung thư phổi giai đoạn 4; cách chọn phác đồ giúp giữ bệnh đứng yên lâu...
Xem thêm09:58 - 05/10/2025
Chọn đúng thuốc – Cơ hội sống dài hơn cho bệnh nhân...
Khám phá giá trị của việc chọn đúng thuốc điều trị ung thư phổi giai đoạn 4 theo hướng dẫn NCCN 2025 – giúp kiểm soát bệnh, thu nhỏ khối u và...
Xem thêm