Nốt phổi là gì? Nguy cơ ác tính và lộ trình theo dõi an...
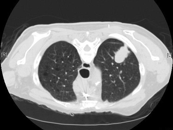
Giải thích nốt phổi dễ hiểu cho cộng đồng: phân loại đặc, kính mờ, bán đặc; nguy cơ ác tính theo kích thước và bờ; khi nào cần chụp PET CT, sinh...
Giải thích nốt phổi dễ hiểu cho cộng đồng: phân loại đặc, kính mờ, bán đặc; nguy cơ ác tính theo kích thước và bờ; khi nào cần chụp PET CT, sinh...